「PESCJ認定医」が在籍

「米国式」 根管治療
- 「マイクロスコープ」で視野を拡大
- 「CT」の活用立体的に患部を確認
- 「ラバーダム」で無菌状態の治療を実現
ペンシルニア大学のスタディグループ(PESCJ)で認定医を取得した
歯科医師が担当いたします。
※自費診療となり、治療費用は部位や症状により異なります。
診査診断代 約1.5万円
根管治療費 10万円~18万円
歯根端切除代、意図的再植代 7.5万円~15万円

「米国式」 根管治療
ペンシルニア大学のスタディグループ(PESCJ)で認定医を取得した
歯科医師が担当いたします。
※自費診療となり、治療費用は部位や症状により異なります。
診査診断代 約1.5万円
根管治療費 10万円~18万円
歯根端切除代、意図的再植代 7.5万円~15万円

「PESCJ(Penn Endo Study Club in Japan)」は、アメリカのペンシルベニア大学の歯内療法(エンド)を学ぶための日本のスタディグループです。主に歯内療法(根管治療)の専門知識や技術を向上させることを目的としたプログラムになります1年間を通してで8名しか受講できません。
当院にはこのPESCJの認定医が在籍しております。この資格は、1年間のコースを受講し、筆記試験、口頭試験、実技試験に合格する必要があります。根管治療は再発が多く治療を繰り返している患者さんも多いと思います。
そうした方はぜひ一度当院へご相談ください。根管治療を専門的に学んだ歯科医師が、原因にアプローチした治療で再発を防ぎます。
※「PESCJ」についての詳しくお知りになりたい方はこちらをご覧ください。


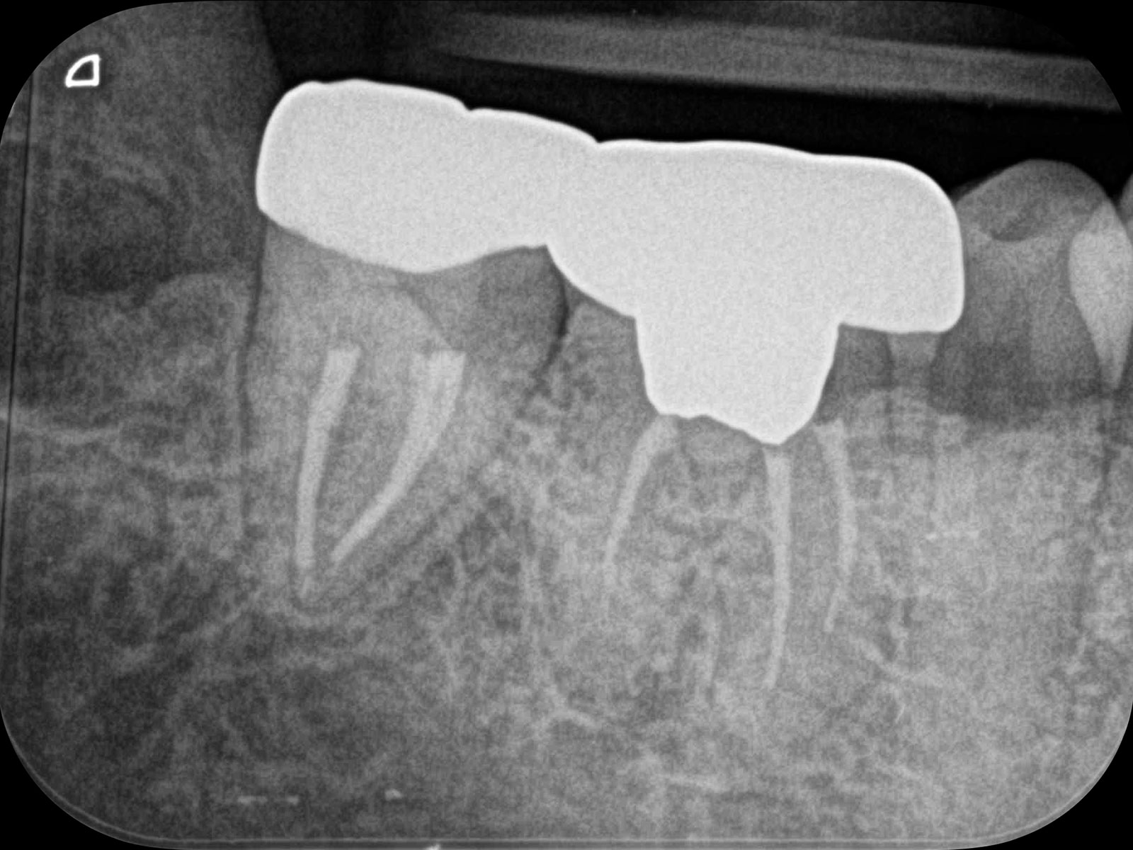
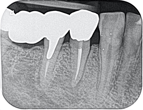
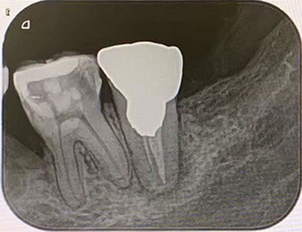
主訴: 噛むと痛い、奥歯が違和感ある
保険治療では発見することが難しい4つ目の神経を
歯を大きく削らずに見つけられます。


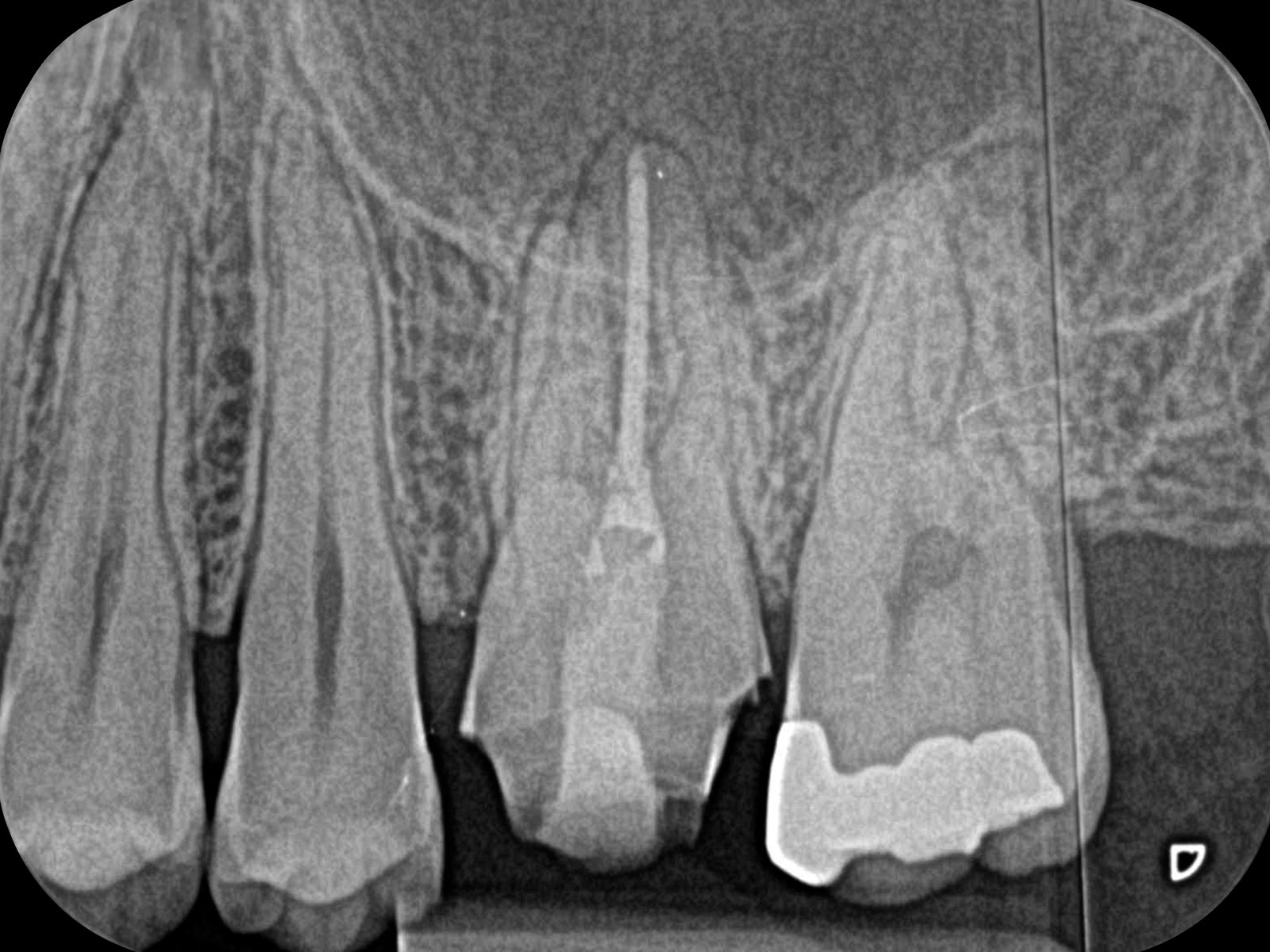
主訴: 右下がしみて痛い。
右下7根の根幹治療と親知らずの抜歯


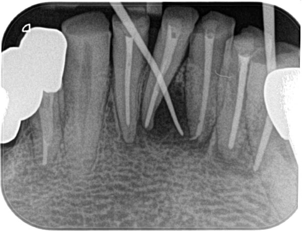
主訴: 噛むと痛い、左で食べれない。他の病院で神経が見つからない。根の先に病気がある。
通常だと手立てがなく、抜歯しかない歯も外科(根尖切除術)で治すことができます。


歯茎が腫れ、CT上では骨が大きくないことがわかります





一般根管治療 |
米国式根管治療 |
|
|---|---|---|
適用 |
保険診療のルールエビデンスに基づかない |
北米の歯内療法専門医に準ずる |
費用 |
安い(数千円) |
高い(数万~数十万円) |
1回の予約時間 |
30分以内のことが多い |
60~90分 |
通院回数 |
多い |
少ない(1~3回) |
マイクロスコープ |
使用しないことが多い |
高性能マイクロスコープを使用 |
ラバーダム防湿 |
しないことが多い |
必ずする |
成功率 |
50%以下 保存できる神経も時間やコスト・技術・器具の問題から神経を取るケースになりやすい |
抜髄 90%以上 感染根管治療(初回)80% 再根管治療40~80% |














当院では、患者さんが抱えていらっしゃるお口のお悩みや疑問・不安などにお応えする機会を設けております。どんなことでも構いませんので、私たちにお話ししていただけたらと思います。
ご興味がある方は下記からお問い合わせください。


